What Is Sarcomatoid Mesothelioma?
Sarcomatoid mesothelioma is a mesothelioma tumor made of sarcomatoid cells. Malignant mesothelioma occurs in three main cell types: epithelioid, biphasic and sarcomatoid. Sarcomatoid is the rarest of the three types. It accounts for about 10 – 15% of pleural mesothelioma cases and 4% of peritoneal mesothelioma cases.
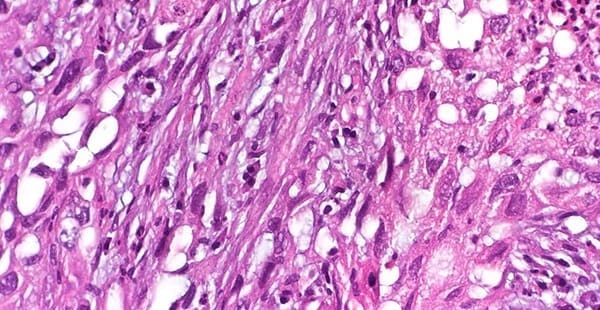
There are several defining characteristics that can help identify sarcomatoid cells:
- An oval, elongated shape with a large nucleus
- Multiple nuclei in some cells
- Unstructured formation in fibrous nodes or lesions
- Distant cell formation that is faster to metastasize than other cell types
Sarcomatoid cells are notable for their oblong, spindle shape. As such, sarcomatoid mesothelioma is also referred to as spindle cell or sarcomatous mesothelioma.
Compared to other mesothelioma cell types, malignant sarcomatoid cells are more aggressive. This type of mesothelioma cancer is also considered more difficult to diagnose and treat. Sarcomatoid cells may mimic other healthy or cancerous cells, leading to misdiagnosis.
Resources for Mesothelioma Patients
What Causes Sarcomatoid Mesothelioma?
Like other forms of this cancer, sarcomatoid mesothelioma is caused by asbestos exposure. If a person breathes in (or ingests) asbestos, the mineral fibers can become embedded in the lungs or other tissues. Asbestos fibers irritate internal tissues and cause inflammation. Over time, this inflammation can cause genetic mutations that lead to mesothelioma cancer.
If mesothelioma develops after asbestos exposure, it may not immediately cause symptoms. Mesothelioma often takes 10 to 50 years to develop after asbestos exposure. Individuals with a history of asbestos exposure can monitor for signs of sarcomatoid mesothelioma by understanding its symptoms. However, patients who develop other asbestos-related conditions may experience symptoms similar to those of mesothelioma.
Symptoms of Sarcomatoid Mesothelioma
Malignant sarcomatoid mesothelioma symptoms may take 10 – 50 years to develop. Patients may experience different symptoms depending on where the cancer develops.
Sarcomatoid cells are most common in malignant pleural mesothelioma, which impacts the lining of the lungs. As a result, symptoms may include shortness of breath and chest pain.
In rare cases, patients may be diagnosed with sarcomatoid peritoneal mesothelioma. This type of mesothelioma develops in the abdominal lining.
Diagnosing Sarcomatoid Mesothelioma
Properly identifying mesothelioma cell type is an important aspect of the diagnostic process. Sarcomatoid malignant mesothelioma is difficult to accurately diagnose because of its rarity and resemblance to other conditions.
Diagnosis typically begins with mesothelioma imaging tests, including an X-ray and CT scan. These tests will identify any visible tumors or excess fluid in the chest cavity. If cancer is suspected, doctors may order a blood test. This test identifies biomarkers that can differentiate mesothelioma from other conditions.
Biopsy Testing and Immunohistochemistry for Sarcomatoid Mesothelioma
A biopsy is the most important step in making an accurate sarcomatoid mesothelioma diagnosis. Cell type can be determined through a tissue biopsy and analyses of the sample, such as immunohistochemistry. This is a staining method that uses antibodies to identify mesothelioma-specific proteins in the tissue sample.
Through an immunohistochemical stain, a pathologist can identify if a tumor is benign or malignant.
Several immunohistochemical markers can indicate mesothelioma. Sarcomatoid mesotheliomas stain positively for pancytokeratin, WT1 and/or podoplanin, a marker also known as D2-40. A minority of sarcomatoid mesotheliomas also stain positively for calretinin.
Multiple biopsies may be necessary to determine if a patients’ tumors solely exhibit sarcomatoid cells. In some cases, epithelioid cells may also be present, indicating biphasic mesothelioma. Additional tests may also be needed to make an accurate differential diagnosis.
Potential misdiagnoses of sarcomatoid mesothelioma include:
- Fibrous pleurisy
- Fibrous tumors
- Fibrosarcoma
- Lymphoma
- Metastasized renal cell carcinoma
- Pleural liposarcoma
- Sarcomatoid carcinoma
Rare Sarcomatoid Cell Types
In some cases, sarcomatoid mesothelioma may also be differentiated as several rare cell types. These cell types are known for metastasis and poor prognosis.
Desmoplastic Mesothelioma
Desmoplastic cells often form without a defined pattern. Desmoplastic mesothelioma is most common in the pleura (lining of the lungs). It has also been found in cases of peritoneal and testicular mesothelioma. It accounts for about 5% of all diagnoses. Studies have found an average life expectancy of 3.8 months.
Lymphohistiocytoid Mesothelioma
This rare form accounts for less than 1% of all diagnoses. It typically forms in the pleura. Lymphohistiocytoid mesothelioma indicates tumors are made of a variety of cells. For instance, epithelial cells and immune cells, such as lymphocytes and plasma cells. Studies have found an average survival time of two to 20 months.
Transitional Mesothelioma
Transitional cells develop similarly to other mesothelioma subtypes. These cells are characterized by a plump spindle shape. The cells sometimes closely resemble epithelial cells, making diagnosis difficult. These tumors are rare, with only a few case reports referencing the subtype.
Sarcomatoid Mesothelioma Life Expectancy
Sarcomatoid mesothelioma life expectancies range from two months to about 18 months with treatment. Patients may face a worse prognosis if they forego treatment.
An individual’s prognosis will also depend on the type of mesothelioma and stage at diagnosis, as well as the patient’s age, gender and overall health.
The presence of sarcomatoid cells can also impact the prognosis of biphasic mesothelioma. For instance, patients with biphasic mesothelioma may face a worse prognosis if sarcomatoid cells are more dominant than epithelioid. Biphasic mesothelioma patients have a life expectancy of about one year. However, if sarcomatoid cells make up more than 10% of the tumor, patients may have more limited treatment options and a worse prognosis.
Cell type is not the only factor that contributes to life expectancy. Patient characteristics such as gender and age may affect prognosis. Treatment can also play a pivotal role. Any patient concerned about their prognosis should discuss these factors with a mesothelioma doctor. The physician can help determine the best treatment approach for the patient’s individual situation.
Treatments for Sarcomatoid Mesothelioma
Sarcomatoid mesothelioma has been characterized as difficult to treat. But newer therapies may change that reality. Older studies showed little evidence of survival benefit for sarcomatoid patients receiving traditional treatments. However, a recent immunotherapy clinical trial more than doubled survival for sarcomatoid and biphasic mesothelioma patients.
Traditional treatments may underperform in this cell type compared to other types. However, patients still have other, potentially more effective, options. Regardless of primary treatment options, all mesothelioma patients can take advantage of palliative therapy.
Palliative treatment can begin at any stage after a cancer diagnosis. It helps patients manage the pain and side effects of mesothelioma and its treatment. Palliative care is an integral part of all cancer care and is not reserved for end-of-life situations.
Chemotherapy
Chemotherapy is a first-line treatment for sarcomatoid mesothelioma. The standard regimen for malignant pleural sarcomatoid mesothelioma is pemetrexed (Alimta®) and platinum chemotherapy. The platinum drug is usually cisplatin or carboplatin.
In the past, chemotherapy has demonstrated some benefits in sarcomatoid cases.
One study examined 137 pleural sarcomatoid mesothelioma patients between 2000 and 2014. Researchers found:
- 19 patients had a positive response to chemotherapy treatment, meaning disease progression slowed or stopped during treatment.
- Patients with positive responses received chemotherapy as a first-line treatment.
- Sarcomatoid patients experienced a 13.9% response rate compared to a 21.9% response rate across all types of mesothelioma.
Immunotherapy
Immunotherapy treatments may be the most promising treatment for sarcomatoid mesothelioma. A recently published clinical trial demonstrates superior survival for patients treated with immunotherapy versus chemotherapy.
Sarcomatoid and biphasic patients receiving immunotherapy had a median survival of 18.1 months. That constitutes a nine-month improvement versus those who received traditional chemotherapy.
These patients were treated with two immunotherapy drugs: Opdivo® and Yervoy®. This immunotherapy combination gained approval for the treatment of inoperable mesothelioma in 2020.
Radiation Therapy
Radiation therapy may also be applied in some cases. It is often used as a palliative treatment to lessen symptoms and improve a patient’s quality of life. Radiation may help manage symptoms by targeting the therapy to a specific, symptomatic tumor.
Surgery
Prevailing clinical guidelines do not recommend surgery for sarcomatoid pleural mesothelioma. These recommendations are made based upon surgery’s ability to extend survival. However, surgical treatment may help patients manage symptoms. As such, surgery can be administered palliatively. Palliative surgeries for sarcomatoid mesothelioma may include:
- Pleurectomy/decortication: This is a surgery that removes the lining around the lungs (the pleura). The pleura contains cancer cells in cases of mesothelioma.
- Pleurocentesis/thoracentesis: This is a minor surgical procedure that removes abnormal fluid from the space between the layers of the pleura. It can help relieve breathlessness.
- Pleurodesis: This is a surgical procedure that collapses the space between the layers of the pleura. It helps prevent fluid buildup and ease breathing.
Other Treatments
A recent study indicates immunotherapy may be the best treatment option for sarcomatoid mesothelioma. Still, experts have not reached a consensus on that topic. Thus, sarcomatoid patients may decide to explore emerging treatments, including:
- Tumor Treating Fields (TTFields): TTFields use a low-intensity electrical current to interrupt cell division (replication). By interrupting this process, TTFields may stop or slow growth of mesothelioma tumors. The electrical current is applied through a medical device called Optune Lua™, which is available by prescription for home use.
- ADI-PEG-20: ADI-PEG-20 stands for pegylated arginine deaminase. It breaks down the amino acid arginine. Thus, ADI-PEG-20 may block the growth of cancer cells that require arginine to live. ADI-PEG-20 was evaluated in a recent pleural mesothelioma study in combination with chemotherapy. About 80% of study patients had sarcomatoid or biphasic cell types. Median overall survival was 14 months. ADI-PEG-20 may be available through clinical trials.
Any patient interested in exploring other treatments should discuss their options with a mesothelioma doctor. The doctor can analyze the patient’s unique situation and help design the best treatment plan.
Common Questions About Sarcomatoid Mesothelioma
- Are there rare types of sarcomatoid cells?
Some sarcomatoid mesothelioma cases may be further classified as rare cell types. These cells occur in three types:
- Desmoplastic mesothelioma, which often forms fibrous tissue. It is most common in the pleura but can develop elsewhere.
- Lymphohistiocytoid mesothelioma, where tumors (often in the pleura) may contain various cell types. Examples include epithelial cells with lymphocytes or plasma cells.
- Transitional mesothelioma, which develops similarly to other mesothelioma subtypes. They are characterized by a plump spindle shape.
Things like prognosis and treatment options vary by rare cell type and patient.
- What are sarcomatoid cells?
Sarcomatoid cells are cells that appear similar to sarcoma cancer cells. This means sarcomatoid cells have a spindle shape akin to an elongated oval with narrow, pointy ends. Sarcomatoid mesothelioma cells are simply mesothelioma cancer cells with a spindle shape.
- What is spindle cell mesothelioma?
Spindle cell mesothelioma is an unofficial term for sarcomatoid mesothelioma. It refers to the elongated, spindle shape of sarcomatoid mesothelioma cells.
Note: This page contains statistics gleaned from large groups of patients. These statistics cannot forecast a single patient’s risk, cancer experience or the success of any given treatment. Patients should discuss all cancer screening and treatment decisions with an experienced oncologist.











